De aceea, investigațiile imagistice precum RMN (rezonanță magnetică nucleară) sunt esențiale pentru un diagnostic corect și aplicarea tratamentului adecvat.
Vezi servicii RMN Biomedscan București - https://biomedscan.ro/
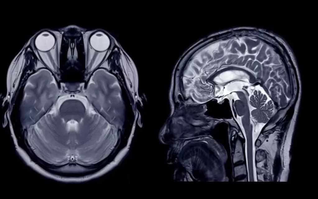
Anatomia orbitei și afecțiunile asociate
Orbita are forma unei piramide cu baza posterioară și vârful anterior. Ea conține:
- Globul ocular cu nervul optic și mușchii oculari
- Glanda lacrimală principală și sacul lacrimal
- Grăsimea orbitală și fascia orbitală
- Vasele sangvine, limfatice și nervii cranieni III, IV, VI care controlează mișcările oculare
Principalele afecțiuni care pot afecta orbita sunt:
- Traumatismele orbitei
- Procese inflamatorii acute sau cronice
- Tumori benigne sau maligne
- Anomalii vasculare și malformații arterio-venoase
- Pseudotumori inflamatorii (de exemplu sclerozanta orbitală idiopatică)
- Miopatii orbitale
Acestea pot determina durere orbitală, edem al țesuturilor periorbitare, exoftalmie (protruzia globului ocular), diplopie (vedere dublă) și chiar pierderea vederii. De aceea, un diagnostic rapid și precis este esențial.
Utilizarea RMN în patologia orbitală
RMN este metoda imagistică de elecție pentru evaluarea afecțiunilor orbitei, datorită rezoluției spațiale și contrastului excelent al țesuturilor moi.
RMN orbitei permite:
- Vizualizarea detaliată a structurilor fine ale globului ocular, nervului optic, mușchilor extraoculari
- Evidențierea modificărilor de semnal ale țesuturilor patologice
- Delimitarea formațiunilor tumorale și caracterizarea lor
- Evaluarea extensiei proceselor inflamatorii sau infectioase
- Depistarea precoce a complicațiilor post-traumatice
RMN este superior CT-ului pentru patologia orbitală deoarece nu utilizează radiații ionizante și oferă un contrast mult mai bun al țesuturilor moi. RMN permite caracterizarea leziunilor în funcție de semnalul emis (izointens, hiperintens, hipointens) pentru un diagnostic diferențial.
Protocolul de examinare RMN orbite
Pentru un examen RMN complet al orbitei sunt necesare secvențe în planuri axial, coronal și sagital oblice. Sunt evaluate ambele orbite simultan.
Se utilizează secvențe:
- T1 simplu și cu saturație de grăsime pentru anatomie
- T2 cu și fără supresie de grasime pentru patologie
- T2 FLAIR și STIR pentru edem și inflamație
- Angio-RMN pentru vase
- Difuzie pentru caracterizarea leziunilor
Uneori este necesară administrarea de substanță de contrast paramagnetică intravenos pentru a evidenția anumite leziuni. Pentru copii sau pacienți anxioși poate fi necesară sedarea conștientă cu medicamente pentru a obține imagini de calitate.
Interpretarea rezultatelor RMN orbite
Rezultatele RMN sunt corelate cu examenul oftalmologic și simptomatologia pacientului pentru a stabili diagnosticul.







